L’expertise de BPR en hématologie
Notre expertise de second recours sur l’hématologie biologique et clinique, ce sont d’abord et avant tout des équipes performantes, agrégeant les compétences des centres les plus reconnus au sein de BPR. Ce sont également des techniques et des dispositifs médicaux les plus reconnus de leur domaine, en cytologie, en cytométrie de flux et immunophénotypage, en biologie moléculaire et séquençage, et enfin en cytogénétique.
Nous ne sommes prêts à aucun compromis dans l’intérêt de la bonne prise en charge de nos patients par nos confrères cliniciens.
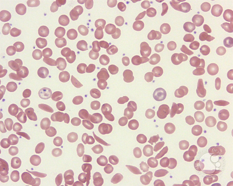
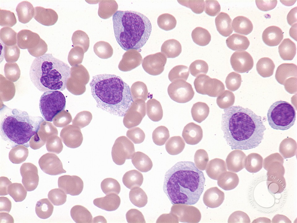
La cytologie
Forme, taille, couleur... des cellules du sangL'art de reconnaître les cellules du sang
La cytologie s’appuie sur l’expertise et l’expérience d’un médecin spécialiste expert afin d’interpréter la numération formule sanguine en fonction de la morphologie des éléments figurés du sang.Excellence technique
En plus de microscopes de précision, nous nous appuyons sur du matériel de haut niveau afin de pouvoir porter les diagnostics cytologiques les plus fins.Les techniques
Cytologie (à l’aide de microscopes de précision, reliés à des caméras permettant de partager les images entre médecins experts), cytomètres de flux… Tout est mis en oeuvre afin d’offrir les meilleures conditions de réalisation pour chacune de nos analyses.Formation continue
Nos médecins experts se forment et se challengent régulièrementUne expertise
Héritée de la Pitié Salpêtrière, et maintenue à jour chaque année. L’hématologie est une discipline qui s’enrichit régulièrement de nouvelles avancées, nous avons à coeur de les intégrer dans notre pratique.Prise en charge hématologique chez BPR, du concret, de l’excellence!
Nous développons au service de nos patients et des laboratoires correspondants des prises en charge correspondant aux techniques de référence permettant le diagnostic, le suivi thérapeutique et l’évaluation pronostique de l’ensemble du spectre des pathologies hématologiques pouvant affecter une femme ou un homme dans son parcours de vie.
En fait, les principales manifestations de la LLC s’observent dans le sang, avec un nombre trop important de lymphocytes B. Des résultats anormaux concernant les autres éléments du sang (hémoglobine* et plaquettes* notamment) peuvent également être observés, mais ils ne sont pas constamment retrouvés.
C’est lorsque la maladie évolue que certains signes physiques peuvent être ressentis. Il est ainsi possible que des ganglions soient plus volumineux qu’en temps ordinaire. La plupart des signes tels que la fatigue, la fièvre, l’essoufflement… qui peuvent survenir au cours de la LLC sont liés aux complications possibles.
- en cas d’anomalie quantitative ou qualitative des cellules sanguines visibles sur l’hémogramme (ou numération formule sanguine), en particulier s’il existe une atteinte de plusieurs lignées (faisant suspecter un défaut de production par la moelle) ou si on a vu sur le frottis sanguin des cellules anormales (suspicion d’hémopathie maligne) ;
- en cas de suspicion d’hémopathie maligne (leucémie, lymphome, myélome) même si l’hémogramme est normal ;
- Pour rechercher des métastases médullaires d’une tumeur solide (une biopsie ostéo-médullaire peut aussi être nécessaire) ;
- Plus rarement :
pour le diagnostic de certaines maladies métaboliques, maladies de surcharge en particulier comme la maladie de Gaucher, - pour le diagnostic de certaines infections, parasitaires comme la leishmaniose viscérale, ou bactériennes avec réalisation d’une myéloculture,
- pour le diagnostic de la mastocytose osseuse systémique, maladie orpheline : recherche de mastocytes.
Pourquoi choisir BPR?
-
-
- En tant que patient, votre santé mérite l’excellence
- Le prix est le même quel que soit le laboratoire où vous demanderez à ce que vos examens soient envoyés
- BPR est une union de laboratoire indépendants: en nous choisissant, vous choisissez de lutter contre la finance dérégulée
- En nous choisissant, vous faites le choix de la meilleure des prises en charge d’un bout à l’autre de la chaîne: les laboratoires participants sont tous indépendants et partagent les valeurs fondatrices de BPR: votre laboratoire de proximité se bat pour que l’on replace l’église au centre du village et le patient au coeur de la médecine.
- Notre indépendance et notre éthique nous permettent d’attirer les meilleurs praticiens!
-



